q

Nos encontramos en el edificio Medical Deusto. junto a la antigua clínica Doctor San Sebastián. Con instalaciones bien equipadas y la tecnología más avanzada al servicio de tu salud bucodental.

 

Cirugía bucal - Clínica dental Agurne Uribarri
15955
wp-singular,page-template,page-template-full_width,page-template-full_width-php,page,page-id-15955,wp-theme-bridge,ajax_fade,page_not_loaded,,side_menu_slide_with_content,width_470,qode-theme-ver-13.5,qode-theme-bridge,wpb-js-composer js-comp-ver-5.4.5,vc_responsive

Cirugía bucal

Diagnóstico y tratamiento de la patología quirúrgica de la boca.

DIENTES INCLUIDOS

Caninos. Los caninos incluidos que no pueden ser ortodóncicamente reubicados en su posición, requieren su exodoncia y restauración protésica, en este caso con una corona sobre implante.

 

Cordales. Los cordales o terceros molares pueden causar patología infecciosa- inflamatoria en los tejidos blandos circundantes o caries en el molar anterior que requiere algunas veces tratamiento de conductos y gran reconstrucción coronaria.

 

CIRUGÍA PERIAPICAL

Periodontitis apical en incisivo central y primer molar superior derechos endodonciados, tratados con cirugía periapical.

 

FRENECTOMÍAS

Los frenillos labiales superiores pueden ser la causa de la persistencia de un espacio entre los incisivos centrales superiores y de pérdida de encías en los dientes con periodonto muy fino.

 

ANCLAJES ÓSEOS PARA ORTODONCIA

Anclaje óseo con micro-tornillos para comienzo de movimiento de tracción de caninos maxilares incluidos y para intrusión de sectores extruidos.

 

ALARGAMIENTO ESTÉTICO DE CORONAS

Alargamiento de coronas del maxilar superior para conseguir la exposición de la parte cubierta por encía.

 

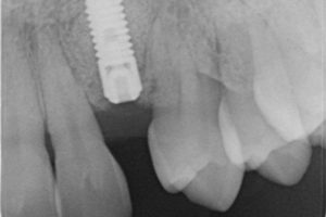
REGENERACIÓN ÓSEA

Regeneración de hueso en el suelo del seno maxilar para posibilitar la colocación de implantes y conseguir la restauración del espacio edéntulo con coronas fijas implantosoportadas.

 

REMODELADO ÓSEO

Los torus mandibulares requieren el remodelado óseo quirúrgico si provocan sintomatología derivada del aumento de tamaño.