q

Nos encontramos en el edificio Medical Deusto. junto a la antigua clínica Doctor San Sebastián. Con instalaciones bien equipadas y la tecnología más avanzada al servicio de tu salud bucodental.

 

Periodoncia - Clínica dental Agurne Uribarri
16260
wp-singular,page-template,page-template-full_width,page-template-full_width-php,page,page-id-16260,wp-theme-bridge,ajax_fade,page_not_loaded,,side_menu_slide_with_content,width_470,qode-theme-ver-13.5,qode-theme-bridge,wpb-js-composer js-comp-ver-5.4.5,vc_responsive

Periodoncia

Diagnóstico y tratamiento de las enfermedades periodontales.

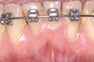
ENFERMEDAD PERIODONTAL

La enfermedad periodontal cursa con inflamación y pérdida ósea casi siempre generalizada que puede encontrarse en un estadío leve, moderado o severo pudiendo originar la pérdida de los dientes. Diagnosticar y tratar esta enfermedad, así como instaurar un programa de mantenimiento adecuado es primordial para conseguir la longevidad de los dientes y la salud oral.

 

ENGROSAMIENTO DE ENCÍAS

Las encías muy finas y delgadas son susceptible de sufrir recesiones. Su engrosamiento evita estos procesos además de facilitar el cepillado.

 

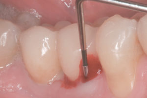
RECUBRIMIENTO DE RAÍCES EXPUESTAS

Las raíces expuestas son susceptibles de caries y de desgastes. Su recubrimiento previene estas patologías además de restaurar la estética de la encía.