q

Nos encontramos en el edificio Medical Deusto. junto a la antigua clínica Doctor San Sebastián. Con instalaciones bien equipadas y la tecnología más avanzada al servicio de tu salud bucodental.

 

Prótesis y Estética dental - Clínica dental Agurne Uribarri
16265
wp-singular,page-template,page-template-full_width,page-template-full_width-php,page,page-id-16265,wp-theme-bridge,ajax_fade,page_not_loaded,,side_menu_slide_with_content,width_470,qode-theme-ver-13.5,qode-theme-bridge,wpb-js-composer js-comp-ver-5.4.5,vc_responsive

Prótesis y Estética dental

Rehabilitación protésica funcional y estética sobre dientes e implantes.

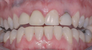
CARILLAS DE CERÁMICA

Carillas cerámicas para la restauración de dientes muy desgastados o con grandes reconstrucciones de composite reemplazadas en múltiples ocasiones.

 

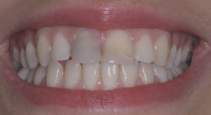
CARILLAS DE COMPOSITE

Las carillas directas de composite restauran toda la anatomía perdida por los dientes devolviendo a la boca la función y la estética, de forma sumamente conservadora.

 

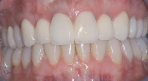
CORONAS Y PUENTES

Las coronas y los puentes dentoportados confeccionados en materiales cerámicos, libres de metal, pueden responder a los requerimientos estéticos de la zona anterior.

 

PRÓTESIS COMPLETAS

Las prótesis completas, además de restaurar el tercio inferior de la cara en el paciente edéntulo, devuelven al paciente las funciones de masticación, fonación y estética, compensando las pérdidas de volumen óseo y aportando el soporte labial necesario.

 

PRÓTESIS SOBRE IMPLANTES

La rehabilitación oral mediante prótesis implantosoportada ademas de restaurar la función masticatoria, fonética y estética, devuelven a los pacientes la comodidad de llevar una restauración fija.